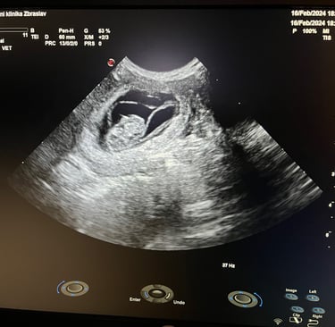
Březost potvrzena!!!

Koncem března se můžeme těšit na štěňátka z vrhu D.

2/18/2024

Koncem března se můžeme těšit na štěňátka z vrhu D.